뇌를 먹는 아메바에 감염된 한국인의 첫 사망사례가 발표되었습니다. 문제는 지구 온난화로 인해서 갈수록 아메바의 서식이 늘어나고 있는 것인데요. 치명률이 97%라니 이 내용 꼭 읽어 보시고 미리 예방하시기 바랍니다.

뇌 먹는 아메바 국내 유입
뇌를 먹는 아메바 아메바에 감염 사례가 국내에서도 처음으로 나왔습니다 안타깝게도 첫 사례부터가 사망사례인데요 남의 나라 이야기인 줄만 알았는데 사고가 우리나라에서도 일어났다니 너무 무섭습니다. 도대체 이 뇌를 먹는 아메바가 어떤 건지 궁금해하시는 분들을 위해서 미국 사례를 알아보았습니다.

파울로 자유아메바
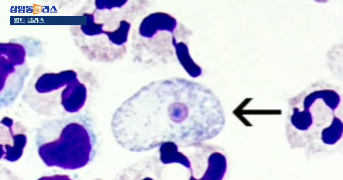
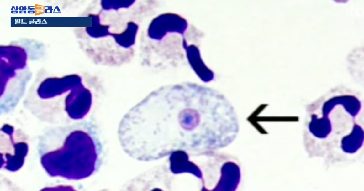
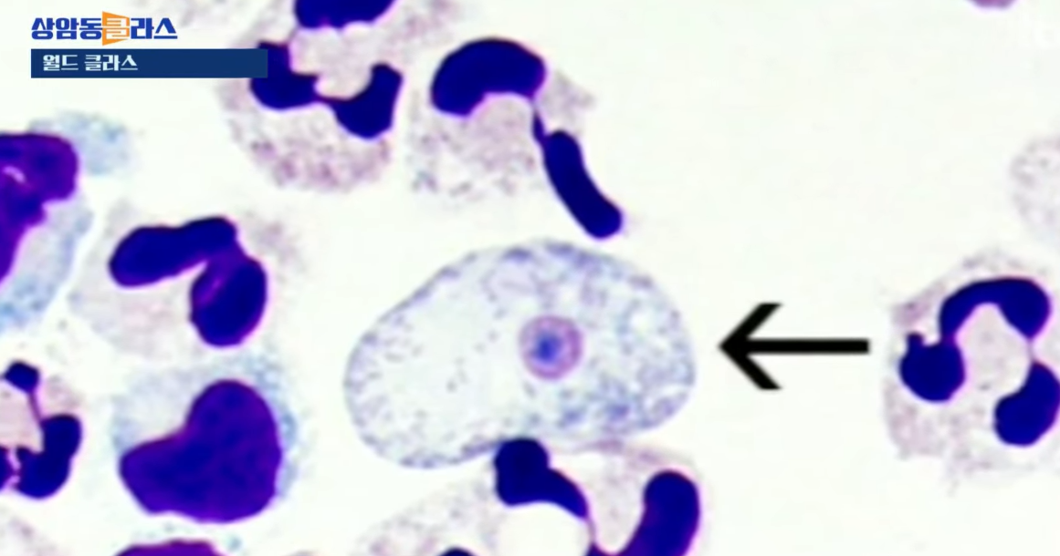
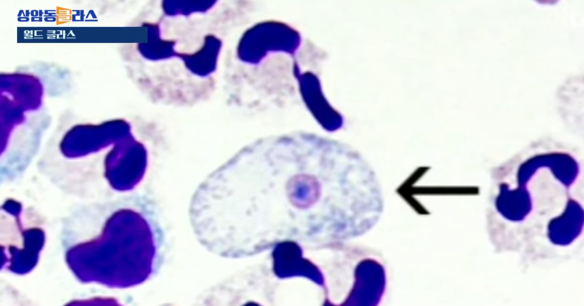
일단 뇌를 먹는 아메바의 진짜 이름은요 파울로 자유아메바입니다. 주로 이 사람의 코를 통해 들어가서 뇌까지 접근해서 뇌수막염 등을 일으키죠.. 이게 미국 뉴스에서는 굉장히 자주 등장하는데 거의 매년 최근에는 거의 매월 등장을 했습니다.



미국에서는 지난 9월과 10월에도 아이들의 사망뉴스가 나오게 되었는데요 호수에서 놀다가 또 어린이 놀이터에 바닥 분수에서 놀다가 감염이 됐다고 합니다. 분수는 사실 아이들 막 분수에서 많이 놀잖아요 근데 이게 치명률까지 높다고 하니까 정말 조심해야 하겠습니다. 이제는 여름철에 아이들 분수 물놀이도 못 시키겠어요!



뇌 먹는 아메바 감염증상
걸리면 이제 두통 12월 구토 등의 증상이 나타난 지 거의 5일 안에 대부분 사망한다고 합니다. 1962년부터 지난해까지 미국 내 감염 사례는 모두 154명이었는데요 그중에 딱 4명만 살아남았습니다. 치명률이 97%를 넘을 정도로 걸리면 거의 죽는 아주 무서운 전염병이라 매우 주의를 요합니다.



수영뿐만 아니라 코를 씻을 때 오염된 물을 써도 벌릴 수 있다고 합니다 저게 주로 섭취 30도 이상의 담수에서 서식을 하는데 지금 이제 지구온난화로 수온이 상승하고 있잖아요 그래서 이 병이 발병하는 그 범위가 좀 넓어지고 있다고 합니다.


미국에서도 전역으로 확산되고 있다고 하네요. 태국 인도 중국 일본에서도 최근에 관련 사고가 있다고 있는데요 이번에 사망한 남성도 태국에서 넉 달 동안 체류했다고 합니다 해외에 나가서 따뜻한 담수에서 물놀이할 때는 즐거움도 좋지만 조심할 필요가 있어 보입니다.
현재까지 뇌 먹는 아메바에 대한 치료제나 특별한 예방법은 전무합니다. 그러니 조심이 최선입니다. 모두들 건강하세요.




최근댓글